Frauenarzt
Dr. med. Wolfgang J. Apel
Bühlstraße 44
37073 Göttingen
Zu den Sprechzeiten Zur Fotogalerie über mich Eid des Hippokrates






















Ultraschall in der Gynäkologie (Brust)

Die Sonographie der weiblichen Brust ist eine strahlungs- und schmerzfreie Untersuchung.
Basierend auf der Ultraschalltechnik ermöglicht sie eine bildliche Darstellung des Brustgewebes.
Neben der Mammographie und Kernspintomographie besteht durch die Ultraschalluntersuchung eine weitere Möglichkeit Veränderungen im Gewebe der Brust frühzeitig zu entdecken und gegebenenfalls therapeutische Maßnahmen zu ergreifen.

In der Hand des erfahrenen Untersuchers eignet sich die Brustsonographie besonders gut zur Beurteilung der jugendlichen Brust, die durch dichtes Drüsengewebe gekennzeichnet ist.

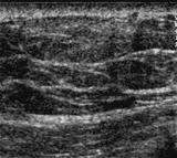
Bild vergrößern
Ultraschall der Brust          

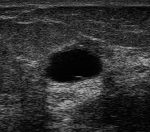
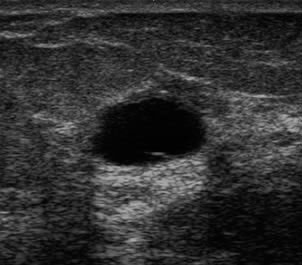
Bild vergrößern
Ultraschall einer Zyste in der Brust
Auch im höheren Lebensalter erlaubt die Ultraschalluntersuchung die sichere Unterscheidung zwischen soliden und zystischen Veränderungen, wie sie typischerweise bei der sogenannten "Mastopathie" vorkommen.
Darüber hinaus besteht die Möglichkeit Brustveränderungen, die mammographisch nicht eindeutig zugeordnet werden können, weiter abzuklären.

Mit der Sonographie der weiblichen Brust besteht somit die Möglichkeit, alters- und krankheits- bedingte Veränderungen frühzeitig und genauer einzuordnen, als dies durch die alleinige Tastuntersuchung der Brust möglich wäre.


| Kontakt | Links | Datenschutz | Seitenübersicht |      (c) Dr. med. W. Apel, Göttingen - aktualisiert: 18.10.2007